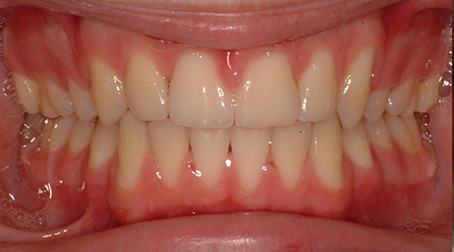
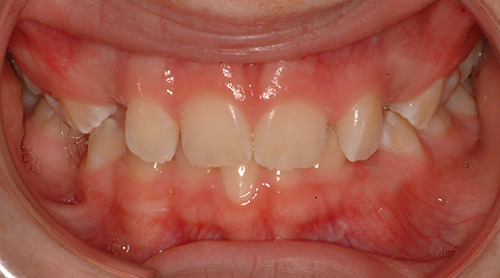
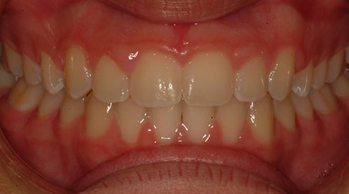
Before & After Patient Pics from Family Orthodontics of Juipiter

Incredible results of braces for adults, braces for teens and braces for children. See some of our patients’ before and after photos the next time you visit our practice.

(561) 744-5456
1851 W Indiantown Rd #201
Jupiter, FL 33458
southern association of orthodontists florida association of orthodontists
american association of orthodontists florida dental association american dental association
Contact Us!
call email